WATCHMAN
Live Demonstration
6/24 THU 18:00-19:30 Room C

山本 真功
(豊橋ハートセンター)
心原性脳梗塞は、心房細動の患者さんにおいて左心耳で形成される血栓が主な原因であると考えられております。このため抗凝固薬を内服して心原性脳梗塞を予防するというのが日常診療における常識となっています。抗凝固薬の内服には、服薬コンプライアンスの問題に加えて、出血性合併症などの懸念事項がありました。カテーテルによる左心耳閉鎖治療は、専用の左心耳閉鎖デバイスを使用して塞栓源を閉塞するというもので、出血リスクの高い心房細動患者さんに対しての新しい治療法として本邦にも導入されました。本セッションでは、左心耳閉鎖治療の現状と適応について広く学び、実際に行われる左心耳閉鎖治療を共有することにより、皆さんの理解を深め明日への診療に役立つことを目的としております。新しい試みになりますので、是非とも一人でも多くの皆さんに左心耳閉鎖治療を知って頂く機会になれば幸いで御座います。

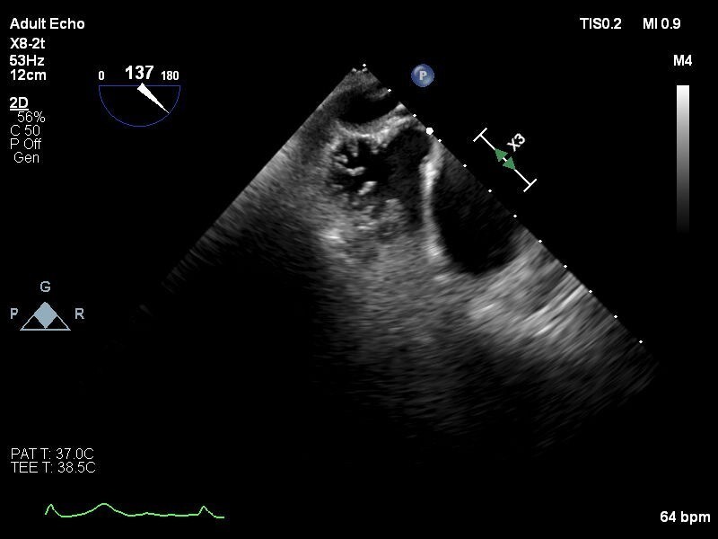
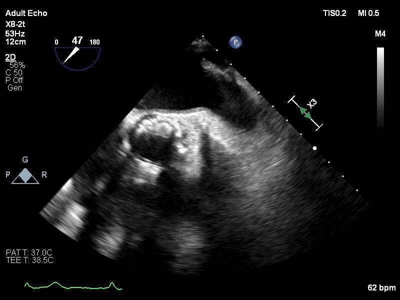
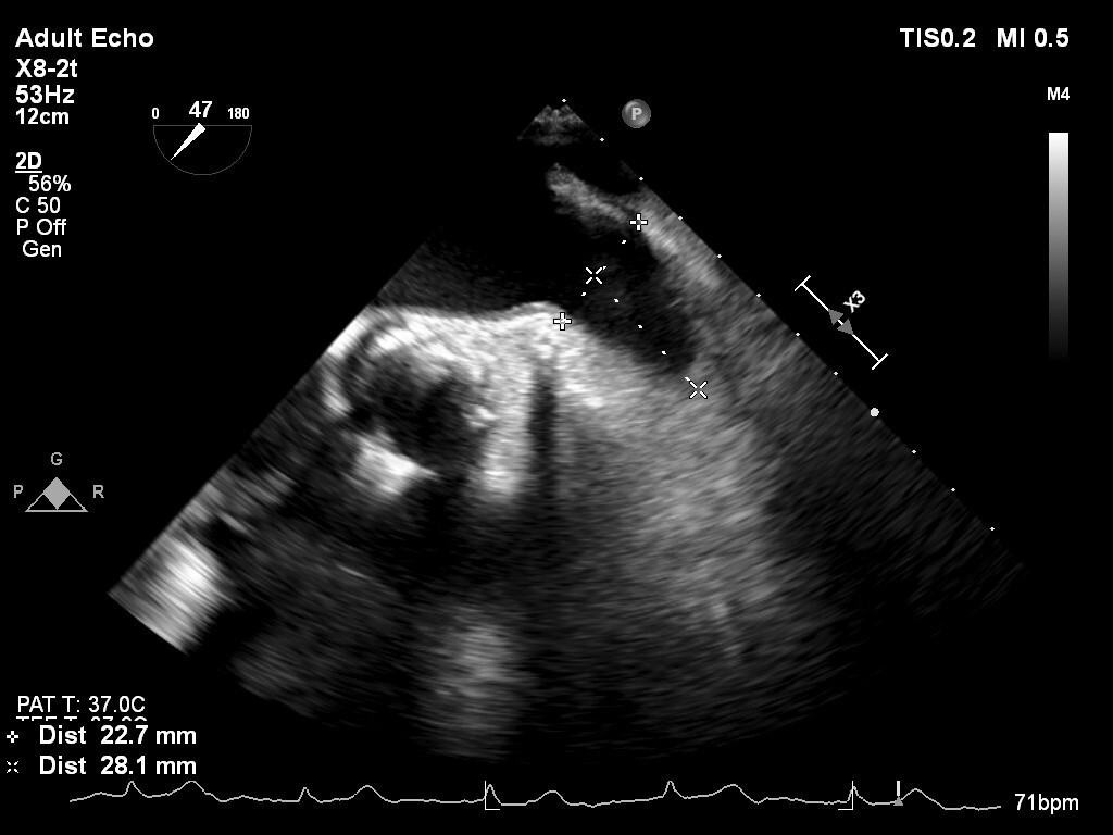
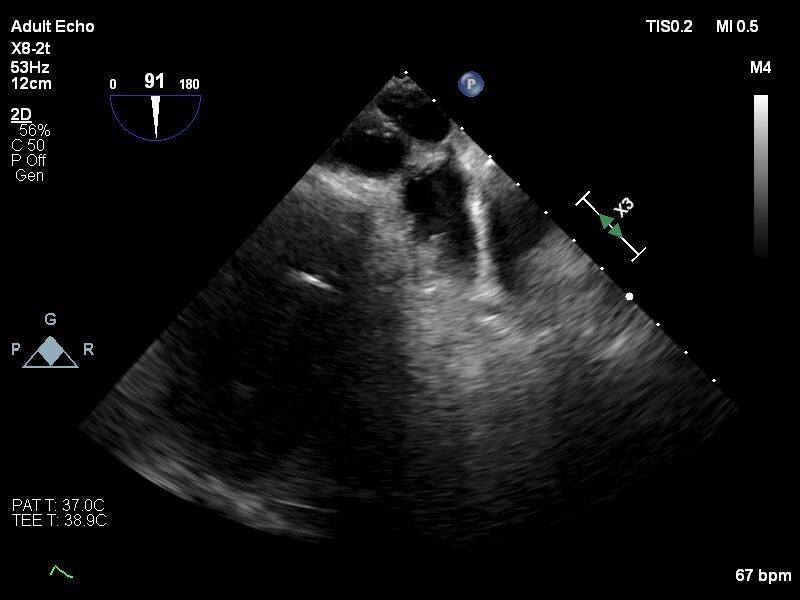
【症例】

80歳代 男性
BH: 156cm
BW: 73kg
BSA: 1.7 m2

【既往歴】

糖尿病, 高血圧症, 脂質異常症, 持続性心房細動, 食道癌, 胃癌(2020/2), 大腸癌術後(2001,2009), 慢性腎臓病, 高度貧血, TAVI(2019/12 Sapien3 26mm), 冠動脈バイバス術後(2018/04), ラクナ梗塞

2019/04
労作時呼吸困難にて心不全入院. 心電図検査にて発作性心房細動を認め、Edoxaban 30mg内服
2019/10
CABG後定期受診にてHb6.9
2019/11
再度外来受診し採血にてHb6.3, 1カ月前より黒色便認めており、貧血精査
2020/12
出血の原因:胃癌・食道癌と診断
→ 幽門側胃切除術と食道癌に対し放射線療法予定
貧血に対し輸血
心エコーにて重症大動脈弁狭窄症の進行認め, 癌手術不耐にてTAVI治療優先施行
2020/02
胃癌手術, その後食道癌に対し放射線治療施行. 2020年はHb9-10台と経過良好
2021/03
血尿, 貧血傾向(Hb8.8まで低下)にて, 鉄剤内服しHb11台まで改善
しかし出血リスク高く、今回左心耳閉鎖治療予定となる