The Professionals− ハイリスク患者の診断と治療戦略を探る −

本セッションでは疾患の診断が困難であった症例やハイリスク症例に対する治療戦略をエキスパートと共に探ります。
適切な診断に難渋した症例、原因不明の疾患、治療すべきかの判断に迫られた症例が全国から集まりました。

開催概要

6月14日(水) Room A
Part 117:30 - 19:00
座長
七里 守(榊原記念病院)
ご意見番
上妻 謙(帝京大学)
Part 219:30 - 21:00
座長
前川 裕一郎(浜松医科大学)
ご意見番
鈴木 孝彦(豊橋ハートセンター)

演題一覧

症例紹介

CASE 1
不穏状態で家族により救急要請をされた40代女性
NTT東日本関東病院/聖マリアンナ医科大学 循環器内科 割澤 高行 先生
症例は40代女性。来院の半年前から発熱、倦怠感、関節痛、易疲労感を自覚していた。怒りっぽく なったが、更年期障害だと思って様子を見ていた。食欲が低下し、体重も減少した。皮膚の色調変化 のため、皮膚科を受診したが、経過観察となっていた。例年の夏よりも暑がっていた。来院当日、深夜1時に痛みと熱さを訴えた。不穏状態で、体動困難だったため、家族より救急要請された。
【既往症】
特記すべき既往なし 3回の出産で異常の指摘なし
【内服薬】なし
【アレルギー歴】花粉症
【身体所見】
来院時バイタル: BP 140/66mmHg, HR 156 bpm, RR 38 /min, SpO2 98 %(リザー バーマスク 10L)
BT 41.6℃, GCS E4V2M6
身長: 165 cm, 体重: 57.5kg, BMI: 21.5
頭頚部: 両側眼球突出あり。眼球結膜黄染あり。甲状腺はびまん性腫大、血管雑音聴取あり。
胸部: 呼吸音/両下肺野で呼吸音低下あり。心音/頻脈により心雑音聴取困難。
腹部: 平坦、やや硬い。触診で明らかな圧痛なし。
四肢: 両側下腿に圧痕性浮腫あり。全身のるいそう著明。
【心エコー】
eyeball EF 60%、moderate MR、severe TR、右室の著明な拡大・左室圧排所見あり、心嚢液少量 (4-8mm)
【心電図】
HR: 150/分、洞調律、右軸偏位、低電位、V5-6でST低下
【胸部レントゲン】
心胸郭比65%、肺門部血管陰影の増強、左右肋横隔膜角/鈍
【来院時血液検査データ】
Question. この時点でどのような病態を疑いますか?
CASE 2
胸部不快感で救急外来を受診した10代男性
天草地域医療センター 循環器内科 西原 大貴 先生
症例は10代男性。某⽇、⼣⾷後の19時頃から⼼窩部の違和感あり。23時頃から胸痛が強くなり、嘔気症状も出現したため、AM 1時頃、当院救急外来を歩いて受診した。
【既往症】
川崎病(3歳時に罹患、他院⼩児科にて定期フォロー中、冠動脈瘤の指摘なし)
【家族歴】
⽗親が25歳で急性⼼筋梗塞の治療歴あり
【来院時現症】
BP:113/72mmHg, P:70/min, BT:36.7℃ , SpO2:97%(Room Air), R:17/min
【身体所見】
呼吸⾳は清で⼼雑⾳なし、⼼窩部を押さえると圧痛の訴えあり
【来院時心電図】
【来院時血液検査所見】
CK/CK-MB: 151/9 IU/L, hs-TropI: 983 pg/ml, TG: 420mg/dL, LDL-C: 31mg/dL, BNP: 4.8pg/mL, WBC: 11950 /ml
【胸部レントゲン】心拡大やうっ血所見なし
【心エコー】心収縮は良好に維持され、明らかな壁運動異常は指摘されず
症状は間⽋的で嘔吐するとやや軽快した。
Question. この時点でどうしますか?
①救急外来にて採⾎フォロー?②経過観察⼊院させ⽇中精査?③緊急⼼臓カテーテル検査?④鎮痛薬処⽅し、朝から外来再診指⽰で帰宅?
少年を襲う胸痛の原因は何だったのでしょうか? どのように診断し、治療したのでしょうか。
CASE 3
高度石灰化を来した10代女性の原因とは ~治療戦略と今後の方針~
東京都立多摩総合医療センター 循環器内科 西村 睦弘 先生
症例は10代後半の女性。主訴は労作時胸痛である。生後7ヶ月時に特発性乳児動脈石灰化症の診断を受けた。生後11ヶ月時に石灰化の進行を防ぐためにペミドロネートが開始された。12歳の時、バスケットボール中に胸痛を自覚した。トレッドミル運動負荷試験にて前胸部誘導と下壁誘導でST低下を認め、心筋SPECTでは心筋の側壁および後壁領域の欠損像を認めた。その後施行した冠動脈造影で3枝(LAD、LCX、RCA)に石灰化を伴う高度狭窄病変が認められた。
Question① この時点でベストな治療法は?
【現在の身体所見】血圧:121/64mmHg、心拍数:78/分、体温 36.1℃、酸素飽和度:99%(室内気)、聴診結果:心雑音なし、頸静脈の怒張や下肢浮腫は認めていない。
【心電図】
【血液検査データ】特記すべき異常所見なし
Question② 今後、この患者さんにとってベストな治療法は?
CASE 4
院外心停止蘇生から1ヶ月後、精査を希望し独歩で来院した90代超高齢男性
聖マリアンナ医科大学病院 循環器内科 中西 亨 先生
症例は90代男性。前駆症状の自覚はなく、卓球のプレイ中に突然意識消失した。近隣医療機関を受診し、神経学的後遺症はなく、頭部外傷として経過観察された。1ヶ月後、失神精査のために独歩で当院を受診した。健診での心電図異常の指摘歴はない。
【既往症】胃癌
【家族歴】なし
【嗜好歴】喫煙歴(30-65歳まで、20本/日)
【ECG】
【来院時血液検査データ】
【TTE】LVEF 70%, no asynergy, LVDd/Ds 41/24 mm, AoD/LAD 30/34 mm, mild AS (peak V 2.63 m/s, mean PG 12.8 mmHg, AVAi 0.8 sqcm), RVSP 25mmHg
Question. 90代の超高齢男性。この時点で将来可能性があると想起する治療方法は何を考慮しますか?
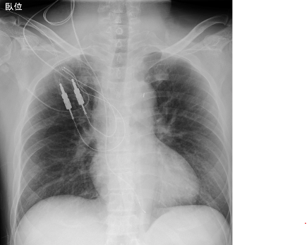
CASE 6
突然の胸痛で救急搬送された50代男性
帝京大学 循環器内科 土田 泰之 先生
症例は50代男性。16時頃、仕事中に突然の胸痛を自覚し、症状が持続するため17時前に救急要請した。救急隊モニターでST上昇を認め、CCUネットワークで当院に搬送された。
【既往症】脂質異常症
【内服薬】なし
【生活歴】current smoker(20本/日、30年間)
【来院時バイタル】JCS:Ⅰ-1 BT: 36.4℃ HR: 43/min、BP: 97/54mmHg SpO2: 100%(Mask 6L)、Lung: no rale, Heart: no murmur
【胸部X線】
【ECG】
HR 50bpm CAVB、Ⅱ,Ⅲ,aVF, V1-2 ST elevation、Ⅰ,aVL ST depression
Question. この時点でみなさんならどうしますか?
血液検査の結果を待つ?単純CT検査の追加?造影CT検査の追加?緊急冠動脈造影検査?